Les facettes céramiques : une technique très fiable utilisée pour un embellissement durable du sourire
Les facettes céramiques
Les facettes sont des revêtements très fins en céramique (0,5 mm) qui sont collés sur la face externe des dents et permettent un embellissement durable du sourire.
La technique des facettes céramiques permet de corriger durablement :
- La teinte des dents lorsqu’il existe des colorations en profondeur qui ne peuvent pas être traitées par un simple blanchiment.
- Les malpositions légères ou encombrements dentaires.
- Les anomalies de forme de la dent (trop étroite ou fracturée).
- Les usures et caries restaurées par des composites (= résines) disgracieux.
Deux séances suffisent pour cette transformation du sourire
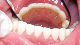
Première séance : Le praticien effectue une préparation pelliculaire sur la face externe des dents du patient, en retirant seulement une infime couche d’émail (de 0,2 à 0,5 mm). L’intervention est indolore.
Une empreinte des dents préparées est prise et envoyée au laboratoire avec les instructions pour la teinte et la forme souhaitées.
Deuxième séance : Les facettes céramiques élaborées quelques jours après sont essayées puis collées sur l’émail des dents. Le praticien pourra jouer, à ce moment encore, sur la teinte en utilisant des résines de collage plus ou moins claires.
Cette technique est tout à fait fiable, grâce à l'utilisation d’adhésifs très résistants dans le temps et au matériau céramique dont la surface vitrifiée permet un maintien permanent de la teinte au cours des années.
|
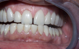
Facettes collées
|
|
|
 |
|
|
Cliquer pour visionner la vidéo en 3D
|
|
Nos conseils
- Si vous êtes préoccupé par l'aspect de vos dents (teinte, usure, anomalies de forme,...) n'hésitez pas à consulter votre praticien. Les facettes céramiques peuvent être une réponse adaptée à votre cas.
Article rédigé par le praticien le 15/10/2014