Cabinet dentaire des Drs BOIVIN

Chirurgiens-Dentistes à St Genis pouilly

183 Place Jean Monnet - 01630 St Genis pouilly - Tél. : 04 50 20 32 52 - Email : nicolasboivin@free.fr

Rubrique :  Les dents et la santé

L’occlusion est la manière dont vos arcades dentaires se rencontrent lorsque vous fermez la bouche

Les désordres de l’occlusion peuvent créer des troubles musculo-squelettiques, en particulier dans les articulations de la mâchoire

L’occlusion dentaire

Occlusion dentaire : ensemble des contacts établis entre les dents du maxillaire (fixées au crâne) et les dents de la mandibule (qui est mobile).

Avoir une bonne occlusion représente un élément capital pour votre santé.

Mais, dans certains cas, ces contacts ne sont pas corrects, par exemple si de mauvaises habitudes déplacent les dents, ou si des dents extraites n’ont pas été remplacées et que les dents restantes ne sont plus en équilibre. Des traitements dentaires, orthodontiques ou prothétiques, peuvent aussi créer des obstacles.

Quand faut-il consulter ?


Si les formes ou la place des dents ne leur permettent plus de s’emboîter convenablement lors du serrage, la mandibule se décale alors pour obtenir cet emboîtement. Cette position d’adaptation de la mandibule peut aboutir à des crispations des muscles des mâchoires ou à des difficultés dans l’articulation de la mandibule. Les mouvements sont alors contrariés ou douloureux.

La situation est aggravée si le patient serre beaucoup les dents comme c’est le cas dans les situations de stress. Alors les difficultés musculaires peuvent se transformer en véritables blocages et les douleurs de la région articulaire irradier tout le côté de la tête.

Les troubles musculo-squelettiques


En fait, cette position décalée de la mandibule passe inaperçue dans la plupart des cas et les patients supportent très bien cette situation… Jusqu’au jour ou d’autres soucis s’additionnent. Si le patient serre des dents la nuit, ou s’il est stressé durant son travail, le déplacement de la mandibule peut perturber la posture du crâne sur la colonne vertébrale. Apparaissent alors des douleurs du cou ou des épaules. L’ensemble de la posture du corps peut être affectée par un déséquilibre mandibulaire important et prolongé.

Mais bien d’autres causes peuvent aboutir à ces douleurs générales qu’on désigne du terme de troubles musculo-squelettiques (TMS). Les dents et l’occlusion sont-elles responsables de ces douleurs qui vous gâchent la vie et que vous avez du mal à identifier ? Il faut alors consulter votre chirurgien-dentiste, ou votre médecin, et demander à ce que votre occlusion dentaire soit évaluée.

L’examen est délicat et le diagnostic souvent difficile. Mais le traitement est simple. Il fait en général appel à des conseils comportementaux, ou des orthèses orales, voire à une équilibration occlusale. Quand on sait que 20% de la population serait affecté de désordres d’occlusion il est bon de ne pas oublier cette cause de troubles musculo-squelettiques.

A lire aussi : Le bruxisme






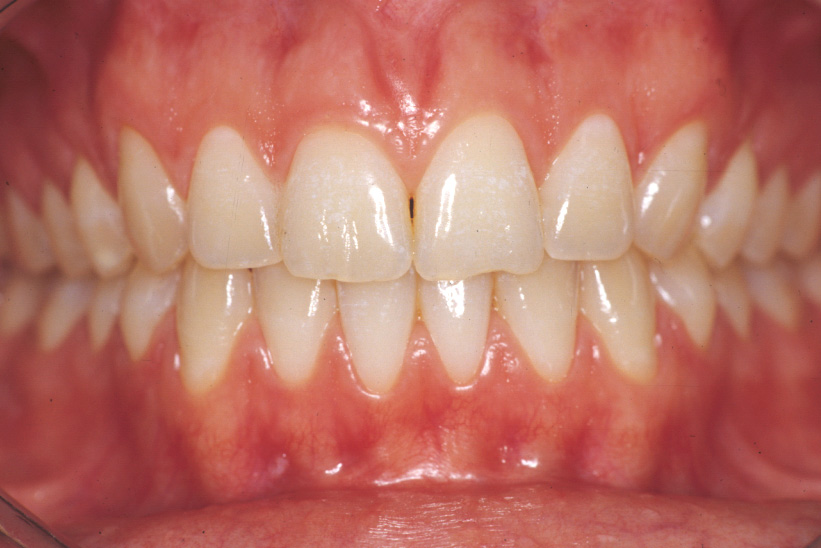
Occlusion normale
Occlusion normale




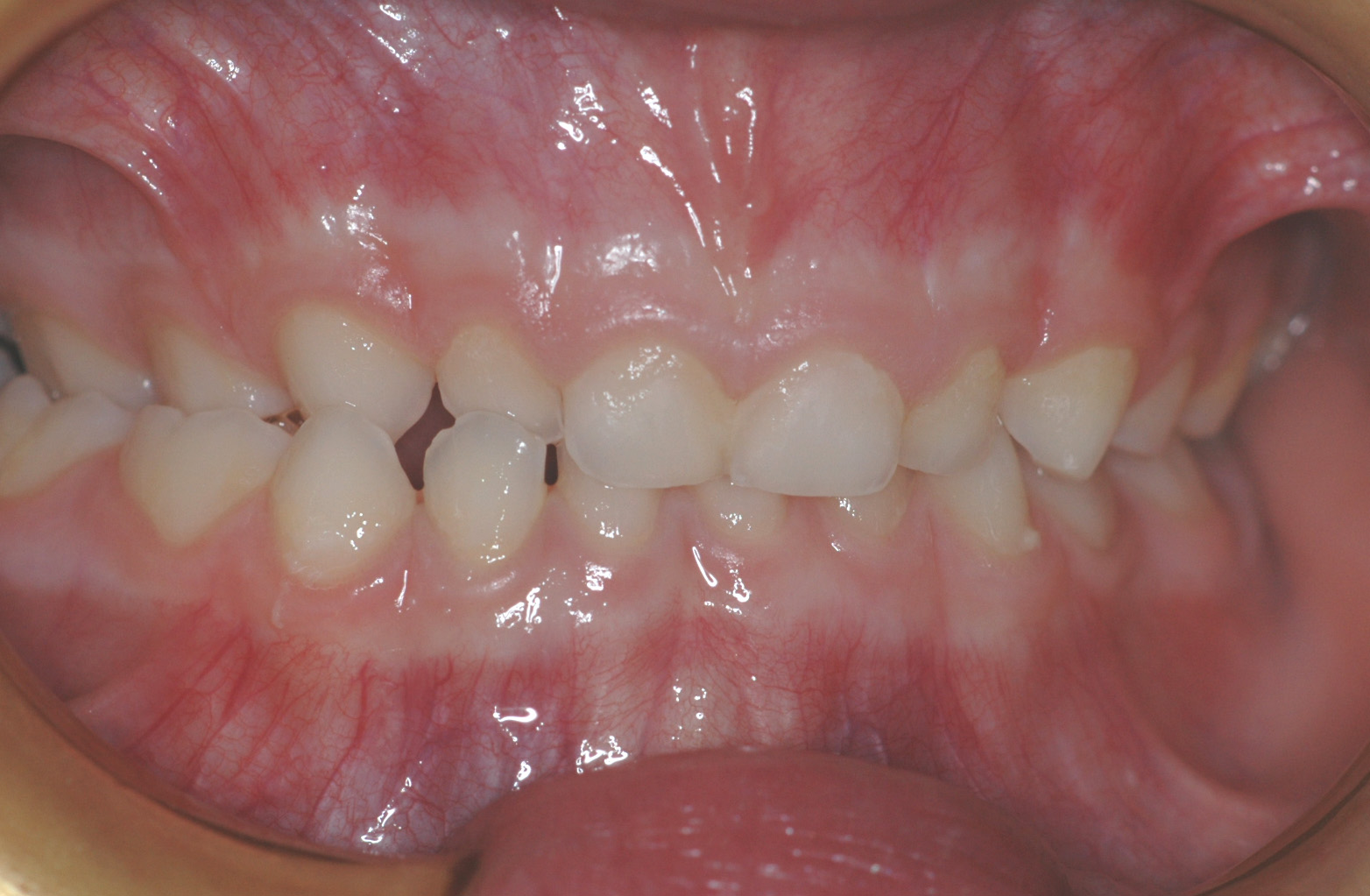
Occlusion inversée
Occlusion inversée


 

Nos conseils

  • En fonction de leurs causes et de leur importance les troubles de l’occlusion peuvent relever de différents traitements.
  • Certains troubles de l’occlusion ne prêtent pas à conséquence et ne sont pas à soigner. Votre chirurgien-dentiste peut faire un diagnostic et, si besoin, proposer un traitement.

Dernière mise à jour le 20/06/2014

Fiches patients

Ufsbd
  • Informations pratiques
  • Les dents chez l’adulte
  • Les dents de l’enfance à l’adolescence
  • Les pathologies bucco-dentaires et leurs soins
  • Les gencives
  • Les prothèses
  • Les implants
  • Les choix esthétiques
  • L'orthodontie
  • Les dents et la santé
  • Prendre soin de ses dents
  • Platelet Riche Fibrin
  • Quizz et jeux