Une surveillance orthodontique est d’autant plus nécessaire que l’enfant aura sucé son pouce au-delà de l’âge de 5 ans
En cas de malpositions dentaires, des traitements simples et efficaces peuvent être proposés dès 6 ans
Il est conseillé d’effectuer une première consultation orthodontique avant l’âge de 6 ans, même si votre enfant a abandonné son pouce rapidement
La succion du pouce n'est pas une contre-indication à la prise en charge orthodontique et peut faciliter la période de sevrage
Impact de la succion du pouce sur l’ensemble bucco-dentaire
Une succion du pouce prolongée peut avoir un certain nombre de conséquences sur le développement de la mâchoire et des dents, ainsi que sur des fonctions telles que la déglutition, l’élocution…
Le réflexe de succion est physiologique et déjà présent avant la naissance. Il est indispensable pour le développement du petit enfant.
Mais la succion dans la durée du pouce, de la tétine ou l’utilisation prolongée du biberon, font mauvais ménage avec une bonne évolution dentaire.
La succion persistante fait perdurer ce que l’on appelle une déglutition infantile : la langue adopte une position incorrecte, trop basse, au repos comme lors de la déglutition de la salive (2000 fois par jour en moyenne). Elle s’interpose en avant entre les dents du haut et celles du bas, ou vient pousser sur les incisives au lieu de monter s’appuyer au palais pour exercer une pression latérale nécessaire au développement transversal des mâchoires.
La mandibule (mâchoire inférieure) est alors sous-développée de même que le maxillaire supérieur. Les dents du haut se trouvent projetées en avant et la lèvre inférieure tend à se positionner entre les deux arcades dentaires donnant à l’enfant une physionomie particulière (dents de lapin).
On le voit, la succion intense mène à un déséquilibre des forces musculaires.
Or c’est l’équilibre des forces musculaires de la zone orale (lèvres et langue), qui permet l’évolution équilibrée des maxillaires et un bon positionnement des dents.
Succion du pouce et orthodontie
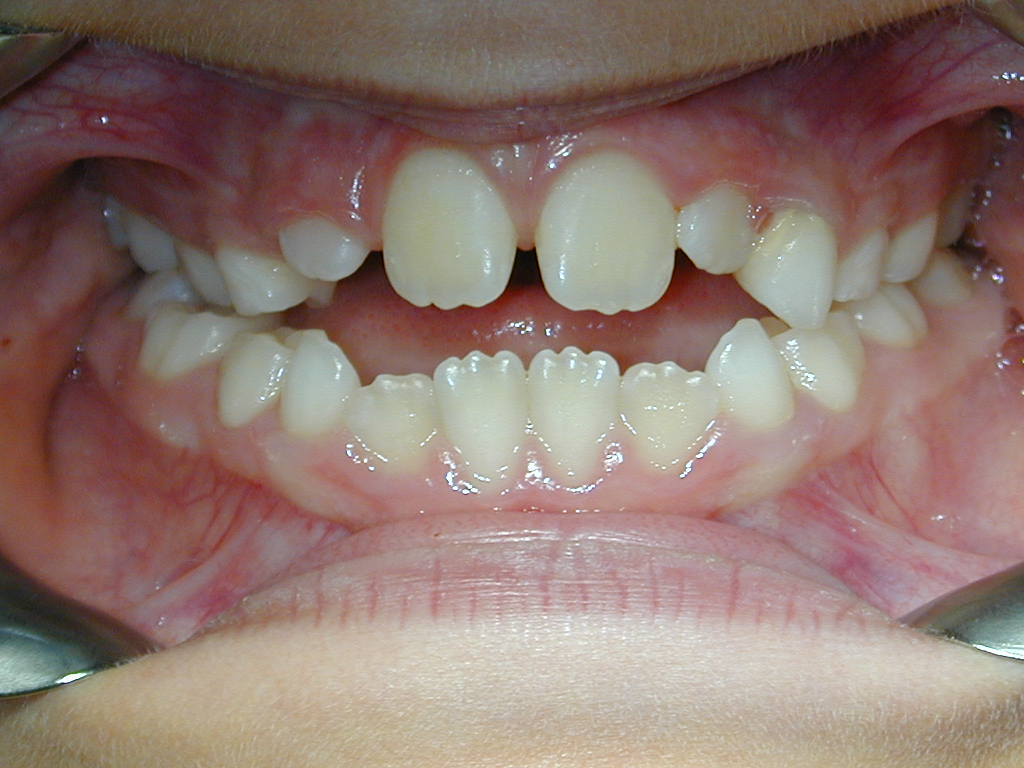
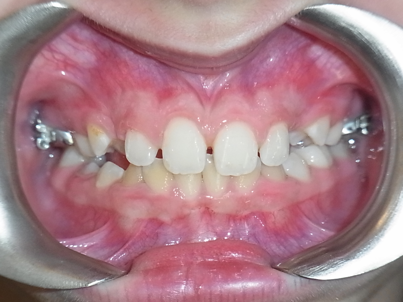
Visuels de droite : enfant de 10 ans présentant une béance des incisives.
Traitement par arrêt du pouce et rééducation linguale. Port d’un appareil Quad Helix.
|
 |
|
|
Cliquer pour visionner la vidéo en 3D
|
|
Si votre enfant a sucé son pouce tardivement, ou s’il le suce encore, nous pourrons intervenir pour l’aider à quitter cette habitude et voir si un traitement orthodontique est nécessaire.
En effet les traitements orthodontiques sont pratiqués maintenant plus tôt, avec des appareils spécifiques, simples et sur des durées courtes. Cela permet souvent d’éviter des soins plus lourds à l’adolescence. Bien sûr tous les enfants ne nécessitent pas d’intervention précoce.
A lire aussi : La succion du pouce : faut-il intervenir ?
Nos conseils
- Les enfants qui sucent leur pouce n’ont pas tous, obligatoirement, des problèmes orthodontiques.
Il y a souvent un ensemble de facteurs qui coexistent (durée de la succion, tonicité musculaire).
- Si l’enfant continue à sucer son pouce avec son appareil ou l’enlève pour sucer, n’hésitez pas à demander
un avis pour savoir si le traitement doit être maintenu ou suspendu.
Dernière mise à jour le 07/01/2015